
A team of researchers at the University of Kentucky (USA) found a correlation between sleep problems and Alzheimer’s disease — the most severe and common form of dementia.
Sleep problems often show up long before Alzheimer’s symptoms appear. Sleep problems and Alzheimer’s disease are connected, and the secret to that link lies with the toxic buildup of the tau protein in the brain, which accompanies Alzheimer’s disease.
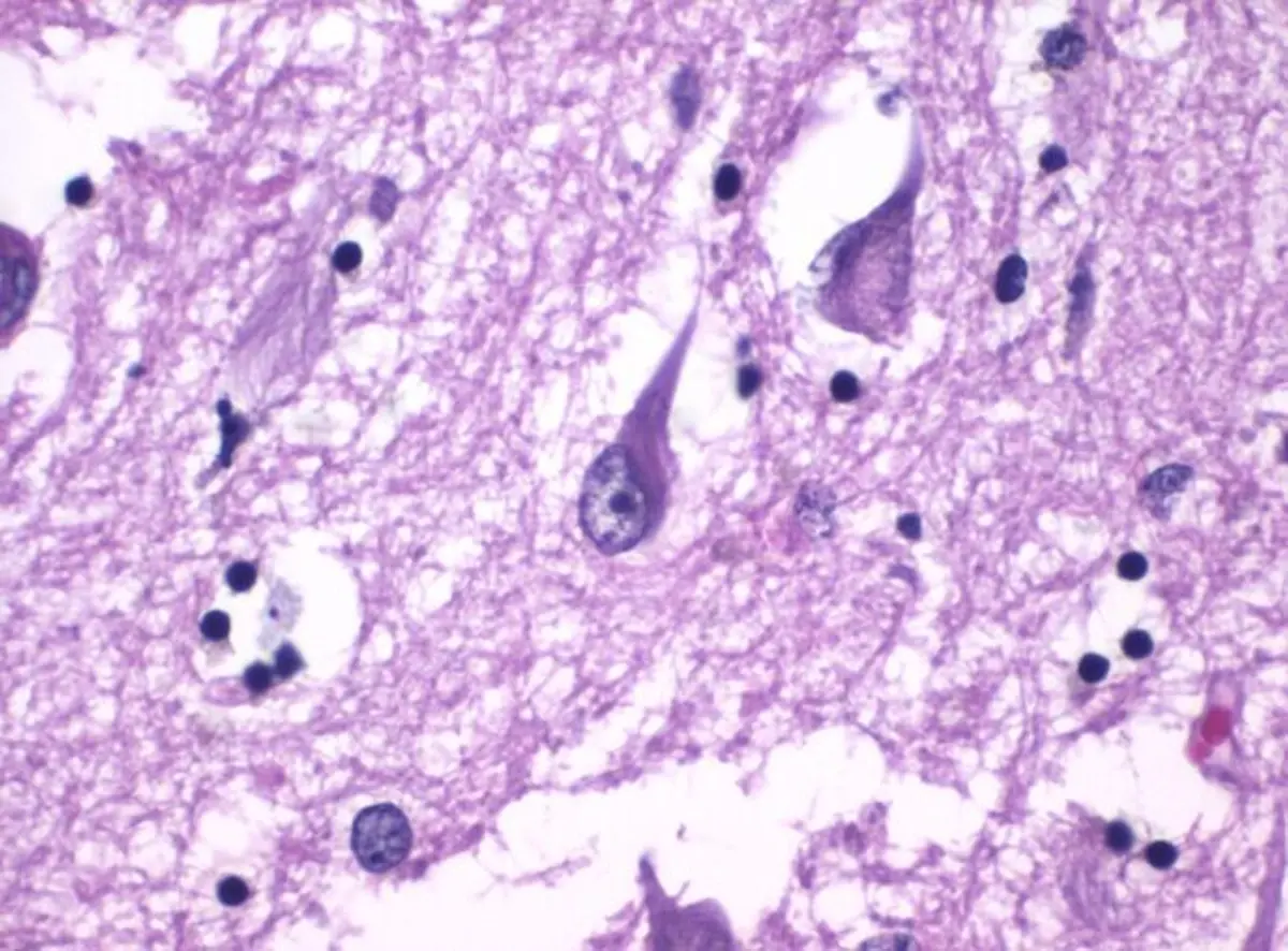
Tau tangles are known to damage brain cells and disrupt connections between them. That damage causes cognitive problems, including memory loss, Science Alert reported.
But the researchers noticed something else: tau protein can, essentially, hijack the brain’s energy supply, keeping neurons in a state of hyperexcitability and making it harder to fall asleep.

Tau proteins form tangles in a sample of brain tissue
How tau buildup may cause insomnia years before Alzheimer’s
Using mouse models of tau-related disease, the researchers found that as tau builds up abnormally, the brain stops using sugar the way it normally does to make energy. Instead, the brain ramps up production of glutamate — a neurotransmitter that excites neurons and helps us learn and form memories.
Like tau, glutamate is normally helpful, but too much glutamate keeps the brain on high alert and interferes with falling asleep. One possible reason is that this is an emergency response by the brain to keep functioning as tau begins to cause failures.
“It’s like that fussy baby who won’t settle down and sleep. The brain uses up your glucose to keep synthesizing glutamate, maintaining a wakeful state and preventing the system from reaching the deep sleep stages needed for recovery and memory formation,” said physiologist Shannon McAuley, who led the study.
The team found these changes at early stages of tau dysfunction — before the protein had formed full tangles. That timing helps explain why poor sleep often precedes Alzheimer’s disease long before other symptoms appear. Keep in mind, though, that these experiments were done in mouse brains.
Previous studies have linked Alzheimer’s disease to problems with the chemical channels that produce energy in brain cells. One theory for the disease is that issues with correctly sensing and reacting to those channels may contribute to Alzheimer’s progression.
The researchers suggest that tau buildup helps overload the brain with energy by redirecting that “fuel” and upsetting the balance between excitation and inhibition.
A cycle develops: Alzheimer’s disease can disrupt sleep, and that disrupted sleep can, in turn, accelerate the disease. The scientists think drugs that alter brain metabolism — such as some epilepsy medications — might reduce hyperactivity and help patients sleep better. Better sleep could then slow disease progression.
The new study adds to the evidence that Alzheimer’s disease is complex in both its causes and consequences.
“Until therapies that change the course of the disease are developed, it’s crucial to pay attention to factors people can change, like sleep,” said physiologist Riley Irmen, a coauthor of the paper.
The study was published in the journal npj Dementia.
Photo: Unsplash